罕见!女子就医,竟发现五脏六腑反着长……
2024-04-26 00:00 2460
近日,
我院普外科接诊一位腹痛患者,
根据采集病史、临床症状、体格检查等,
初步考虑为急性胆囊炎。
一般来说,
急性胆囊炎患者常见右上腹肌紧张、疼痛,
但是,患者一直指着左上腹喊疼,
这到底是怎么回事?
“建议全腹部彩超检查。”
正在大家疑惑时,
普外科主任朱振飞猜测到一种可能,
“看看胆囊情况。”
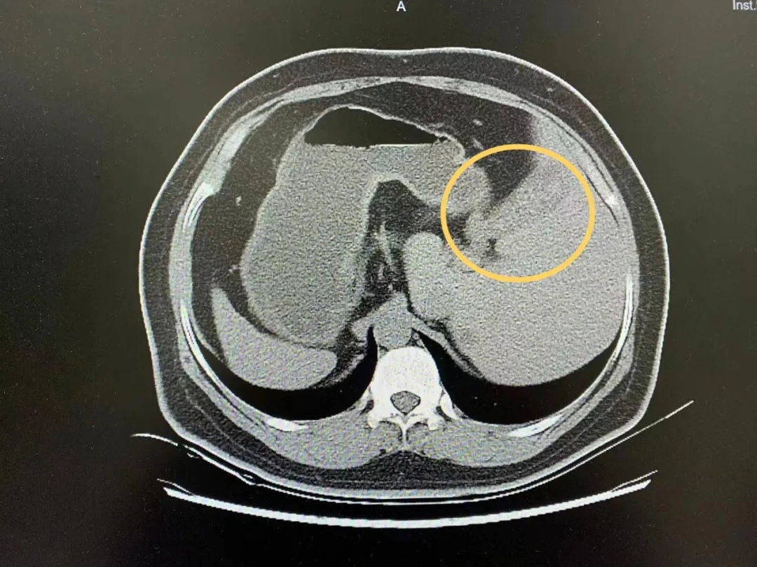
彩超结果一出,
普外科医生们全部惊住了,
患者胆囊竟位于腹部左侧!
不仅如此,
其他内脏器官位置均镜面翻转,
这就是罕见的“镜面人”。

经诊断,
患者确为“急性胆囊炎”。
普外科团队决定为患者
实施腹腔镜下胆囊切除术。
有时候“镜面人”不单纯是简单的器官转位,经常合并血管的畸形及变异,尤其是胆囊切除手术,更需要保护周围血管,胆管,防止出现术后出血及胆漏的并发症。所以手术操作绝不仅是“换一个方向做”那么简单,这不仅要求医生保持头脑高度清醒,在没有任何解剖书参考的情况下,在逆向思维的引导下,脑、眼、手高度协调配合,分毫不差地完成手术操作。

术中,徐医附院胃肠外科驻睢专家王凯与朱振飞主任克服思维定式,认真辨别毗邻结构,反复确认解剖关系。在脏器反转和无经验可循的情况下,顺利完成器械布孔,采用右侧站位、左侧打孔、左手操作,成功将这个“迷路”的胆囊取出体外。术后,患者恢复的很好,三天后顺利出院了。

王凯主任表示:“镜面人”就医时一定要将自己特殊的生理构造告知医生,否则很容易引起误诊、漏诊而延误治疗。

