再突破!我院泌尿外科成功开展腹腔镜下肾巨大肿瘤根治术
2023-03-17 12:00 2369
近日,我院泌尿外科团队在仲委主任的带领下,联合麻醉科医护团队成功为一名患者实施了腹腔镜下肾巨大肿瘤根治术,此例手术的成功开展,标志着我院泌尿外科具备了实施高难度肿瘤切除的能力。
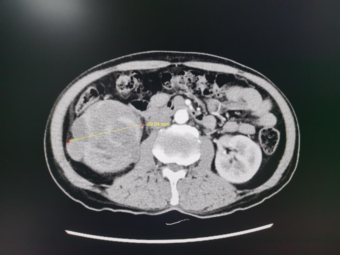
患者薛某一周前在我院内分泌科就诊,偶然检查发现右肾巨大占位,随即联系泌尿外科进行会诊。泌尿外科仲委主任组织科室人员对患者的影像学检查仔细研读,经多方面考虑,建议患者进一步手术治疗。

“如此巨大的肾癌肿瘤十分少见,且肿瘤位于肾门部,毗邻重要脏器及多条血管供应,手术难度大,风险高”。仲委主任表示,由于肿瘤体积较大导致手术可操作空间狭小,稍有不慎就会造成血管、脏器损伤而引起大出血,如肿瘤侵犯和黏连周围器官,手术的难度和风险将大大增加。

为确保此次手术顺利完成,我院泌尿外科团队就腹腔镜手术操作过程及优势、此次手术的难点与风险等内容与患者家属进行了充分的术前沟通,大大的缓解了患者及家属的紧张情绪,同时,患者及家属也对泌尿外科团队的业务水平表示出充分的信任及认可。经科室讨论后,做好充分准备及应急方案,手术团队决定为患者实施腹腔镜下右肾癌根治术,该手术属于微创手术,具有手术切口小、创伤小、出血少,术后患者痛苦较小、恢复较快等优点。

术中可见,患者肿瘤体积大,肾门部暴露空间狭小,且右肾双动脉血供、双静脉回流,给手术带来极大难处,瘤体与周围肠管、下腔静脉等黏连,稍有不慎,后果不堪设想。手术团队高度专注,耐心、细致游离肾门部,行肾动静脉结扎后,再分离肿瘤,术中肿瘤与下腔静脉黏连,为完全剥除肿瘤,损伤下腔静脉,迅速在腔镜下进行腔静脉缝合止血。

经过6小时的努力,成功完整的摘除巨大肿瘤。术后患者恢复良好,病理及免疫组化明确为肾集合管癌,在医护人员的精心照顾下,顺利康复出院。

此项手术的成功实施,标志着我院泌尿外科诊疗技术取得新突破,诊疗水平再上新台阶,在重大疾病、疑难疾病的诊治能力上又取得一重大进步。
