谢谢你们,挽救了我的生命,把我从鬼门关拉了回来……
2023-05-18 00:00 2972
“谢谢你们,挽救了我的生命,把我从鬼门关拉了回来……”近日,我院重症医学科内,53岁的患者王阿姨紧紧握着ICU主任张扬的手说道。
回忆起溺水到脱险的经历,王阿姨仍心有余悸。五一期间,由于连日阴雨造成道路泥泞,王阿姨不慎跌入村里的水塘,发生溺水。由120急救车紧急转至我院时,患者已神志不清、全身紫绀并伴有呼吸困难。在急诊予以紧急处理后,转入我院ICU继续治疗。

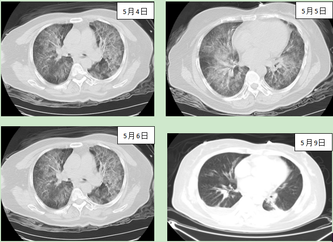
收住ICU后,根据患者的各项指标及CT结果,诊断为“溺水,肺水肿,休克,急性呼吸窘迫综合征”,根据相关评分结果,该患者的死亡风险系数高达83.37%,病情非常危急。
张扬在了解患者病情后,立即组织全科进行病例讨论,制定了详细的诊疗方案。由于患者肺内吸入大量污水,给予高PEEP机械通气,通过体位引流改善肺泡的通气和换气功能,持续泵注升压药稳定患者循环,适当利尿,小剂量激素应用减轻肺水肿,同时保护心、肝、脑、肾等多脏器功能,维持患者水电解质的平衡,防止血栓发生。另外防治肺部感染也是治疗过程中的难点和重点,根据诊疗经验和污水池的环境选择了有效的抗菌药物。

在护理方面,由于患者体型较肥胖,早期患者血压不稳定,为了改善氧合,护理团队不辞辛苦每天给患者采用俯卧位通气,待患者血压逐渐稳定,呼吸机参数下调后,多名护理人员搀扶着下床行机械通气,同时严密监测患者的瞳孔、意识、氧合等各项生命体征,及时清理气道分泌物,保持气道通畅。

各脏器功能平稳恢复。

功夫不负有心人,在ICU救治团队的精心守护下,患者终于转危为安,现已在家人陪同下出院。不抛弃、不放弃,秉承着对生命的敬重,在睢宁县人民医院重症医学科这一方小天地里,生命的奇迹仍将继续。
- 上一篇
- 下一篇
